Casi clinici
Medicina interna, ecografia e chirurgia NAC
IDENTIFICAZIONE E STORIA CLINICA
| NOME PAZIENTE | SPECIE | RAZZA | SESSO | ETÀ |
| MAKI | CONIGLIO | ARIETE | F | 6 ANNI 3 MESI |
SINTOMATOLOGIA
Improvviso abbattimento e zoppia posteriore dopo aver saltato sul divano
ESAME CLINICO
L’esame clinico rileva dolorabilità addominale con marcata zoppia.
ESAMI EFFETTUATI
Eseguito esame radiografico in proiezione VD che non rileva lesioni a carico del rachide e degli arti posteriori.

Si richiede pertanto un consulto con Collega Specialista in NAC (Animali Non Convenzionali) per ulteriori accertamenti diagnostici.
- consulto specialistico NAC:
alla visita clinica specialistica la paziente si presenta vigile ma iporeattiva, mucosa congiuntivale e vulvare pallide, non si rilevano anomalie alla palpazione dei profili ossei né all’esame del cavo orale, importante risposta algica alla palpazione dell’addome craniale, tachipnea (aumento della frequenza respiratoria).
Si effettuano esami emato-biochimici che rilevano anemia lieve anemia, iperglicemia, ipoproteinemia, ipoglobulinemia e incremento rilevante dell’enzima epatico AST/GOT.
Si richiede ecografia addominale specialistica per sospetto diagnostico di torsione di lobo epatico.
EMOGRAMMA

BIOCHIMICO
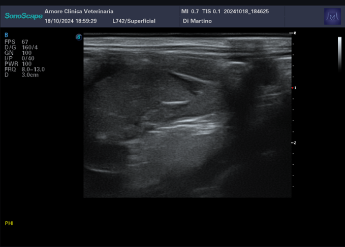
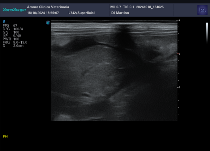
- consulto specialistico ecografico:
l’esame ecografico addominale rileva un dislocamento dell’apice del lobo epatico destro con presenza di una discreta falda di versamento ipoecogeno particolato.

Effettuata la centesi, il versamento risulta essere di tipo emorragico.
DIAGNOSI E TRATTAMENTO
Sospetta torsione del lobo epatico medio. Si consiglia chirurgia d’urgenza.
CHIRURGIA: TORSIONE DEL LOBO MEDIO E CAUDATO DEL FEGATO



La chirurgia laparotomica ha messo in evidenza abbondante versamento emorragico in addome (circa 30 ml), per cui in assenza di un coniglio donatore (data l’urgenza dell’evento), si è provveduto ad effettuare un’autotrasfusione (prelievo del versamento e trasfuso per via endovenosa alla paziente). Tale procedura ha permesso di avere a fine chirurgia un ematocrito del 22%.
FOLLOW UP DOPO 7 GIORNI
EMOGRAMMA: ematocrito 23,7%, RBC 3.4 milioni/uL, HGB 7.1 gr/dL (anemia rigenerativa)
ECOGRAFIA ADDOMINALE: moderata reattività peritoneale con assenza di versamento addominale.
DISCUSSIONE
La torsione di lobo è una vera e propria urgenza veterinaria. Le cause per cui si verifica sono ancora sconosciute ma sembra interessare soprattutto i conigli di razza, in particolar modo gli arieti. La sintomatologia è aspecifica, per cui attenzione a inappetenza, mancata produzione di pellet fecali e/o abbattimento nel vostro coniglio domestico. Una visita dal veterinario specializzato può salvargli la vita!
